ปวดหลังไม่ใช่เรื่องเล็ก!สาวปวดหลัง 7 เดือน ตรวจเลือดไม่เจออะไร เช็กไขสันหลังแล้วช็อก
เฟซบุ๊ก หมอมนูญ ลีเชวงวงศ์ FC เผยถึงเคสหนึ่งที่น่าสนใจ เมื่อสาววัย 29 ปี ปวดหลังนาน 7 เดือนจนก้มไม่ได้ เดินลำบาก แต่เธอไม่มีโรคประจำตัว น้ำหนักไม่ลด ไม่เบื่ออาหาร ตรวจร่างกายแล้วปกติ เจาะเลือด เอกซเรย์ปอดและกระดูกสันหลัง ปกติทุกอย่าง โดยระบุว่า


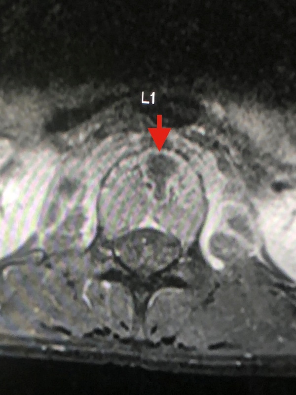
อย่างไรก็ตาม เมื่อลองทำ MRI กระดูกสันหลังส่วนเอว กลับพบความผิดปกติ และมีความเป็นไปได้ที่เธอจะเป็นวัณโรคของกระดูกสันหลังส่วนเอวชิ้นที่ 1 และสงสัยว่าจะมีการอักเสบรอบ ๆ เนื้อเยื่อกระดูกสันหลังส่วนเอวชิ้นที่ 1 และ 2 ร่วมด้วย จึงทำการเจาะเนื้อเยื่อรอบกระดูกสันหลัง ส่งตรวจย้อมเพื่อหาเชื้อวัณโรค และให้ผลลบ จากนั้นก็รอเพาะเชื้อวัณโรค ส่งตรวจพยาธิวิทยา พบว่าเนื้อเยื่อตายและไม่พบมะเร็ง และสรุปได้ว่า เธอเป็นวัณโรคที่กระดูกสันหลัง

อย่างไรก็ตาม ทางหมอก็เริ่มให้ยาวัณโรค 4 ชนิดพร้อมกัน และให้ยารักษาวัณโรคกินต่อเนื่อง 1 ปี ซึ่งวัณโรคเกิดจากเชื้อแบคทีเรีย มัยโคแบคทีเรียม ทูเบอร์คูโลซิส (Mycobaclerium tuberculosis) ติดต่อกันทางลมหายใจ ร้อยละ 80 เกิดที่ปอด แต่ผู้ป่วยรายนี้พบที่กระดูกสันหลัง และสามารถพบได้ทุกส่วนของร่างกาย ซึ่งคนไทยป่วยเป็นวัณโรคปีละ 1 แสนคน เสียชีวิตปีละ 10,000 คน




