ยกเคส’หมอหนุ่ม’เจอมะเร็งปอดระยะลุกลามเตือน แม้ไม่สูบบุหรี่- ฝุ่นPM2.5 ก็ทำให้เกิดโรคได้

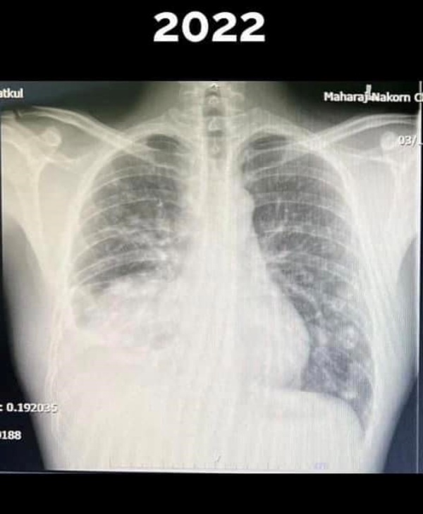
หมอแล็บแพนด้า หรือ ทนพ.ภาคภูมิ เดชหัสดิน นักเทคนิคการแพทย์ กล่าวถึงจากกรณีของ นพ.กฤตไท ธนสมบัติกุล วัย 28 ปี อาจารย์ประจำศูนย์ระบาดวิทยาคลินิกและสถิติศาสตร์คลินิก ภาควิชาเวชศาสตร์ครอบครัว คณะแพทย์ศาสตร์ มหาวิทยาลัยเชียงใหม่ ที่แชร์เรื่องราวของตัวเองหลังตรวจเจอมะเร็งปอดระยะลุกลาม หรือระยะสุดท้าย ทั้งๆที่ร่างกายแข็งแรงปกติดีทุกอย่าง รักสุขภาพไม่สูบบุหรี่ นอนตรงเวลา แต่เมื่อเอกซเรย์ล่าสุดกลับพบว่า ปอดซีกขวาหายไปเกือบครึ่งหนึ่ง พร้อมยกเรื่องของฝุ่นพิษ pm 2.5 ขึ้นมาพูดถึงอีกครั้ง โดยโพสต์ข้อความระบุว่า
มลพิษทางอากาศและ PM 2.5 ถูกกลับมาพูดถึงอีกครั้งครับ เพราะหมอหนุ่มที่ออกกำลังสม่ำเสมอ เล่นกีฬา กินคลีน ไม่สูบบุหรี่ ดื่มน้อยมาก ทำงานไม่เครียด นอน เป็นเวลากลับตรวจเจอมะเร็งปอดระยะลุกลาม ปอดขวาหายไปครึ่งนึงแล้ว
.
ไม่รู้ว่าเกิดจากอะไร แต่เราควรจริงจังและตื่นตัวเรื่องมลพิษทางอากาศกันได้แล้วครับ ‘ฝุ่นพิษ’ PM 2.5 มันคือฝุ่นละอองขนาดเล็กกว่า 2.5 ไมครอน มีผลเสียต่อสุขภาพอย่างมาก ซึ่งอยู่คู่กับประเทศไทยมาหลายปี และมาเป็นฤดูกาล ตั้งแต่หน้าหนาวยาวข้ามปีไปหน้าร้อน

.
ความร้ายกาจของ PM 2.5 คือ มันไม่ได้มาตัวเปล่า แต่ดันเอาเพื่อนอย่าง สารปรอท แคดเมียม โลหะหนักอื่นๆ และพวกสารก่อมะเร็งอีกมากมายติดมาด้วย
PM 2.5 สามารถทำให้เราเสี่ยงเป็นมะเร็งปอดได้จริง ซ้ำร้ายยังสามารถเหนี่ยวนำให้เป็นมะเร็งชนิดอื่นๆได้อีกด้วยนะครับ
อ่านข่าวที่เกี่ยวข้อง
- “มะเร็งปอด” ไม่สูบบุหรี่ก็เสี่ยงได้! ภัยร้ายเงียบที่ไม่ควรมองข้าม .
- พบบ่อยในคนไทย เช็คสัญญาณเตือน’มะเร็งปอด’…ภัยร้ายที่ไม่ควรมองข้าม
- ส่งกำลังใจ!’หมอหนุ่ม’วัย 28 ตั้งเพจ ‘สู้ดิวะ’ หลังพบมะเร็งปอดระยะสุดท้าย
ป้องกันตัวเองไว้ก่อนดีสุดครับ ไม่ว่าจะเป็นฝุ่น หรือพวกควันบุหรี่มือหนึ่ง มือสอง มือสาม พอถึงจุดที่เราป่วยเข้าจริงๆ เงินทองอะไรทั้งหลายก็ไม่มีค่า การได้มีชีวิต ใช้ชีวิต และไม่มีโรคภัยไข้เจ็บ มันคือดีที่สุดแล้ว
สอดคล้องกับทวิตเตอร์ @manopsi ของ นพ.มานพ พิทักษ์ภากร หัวหน้าศูนย์วิจัยการแพทย์แม่นยำ คณะแพทยศาสตร์ศิริราชพยาบาล มีการทวีตข้อความถึงเรื่องคุณหมอกฤตไท ว่า ฝุ่น PM2.5 อาจเป็นสาเหตุหนึ่งที่ทำให้คนเป็นมะเร็งปอด ทั้งที่ไม่สูบบุหรี่ ดังนั้นหากใครมีเครื่องฟอกอากาศก็ใช้มันตลอด กดให้ต่ำกว่า 10 ให้ต่ำกว่า 5 ยิ่งดี อย่าให้ปอดเราเป็นไส้กรองอากาศเด็ดขาด
นอกจากนี้ นพ.มานพ ยังระบุว่า ทำไมถึงต้องซีเรียสเรื่อง PM2.5 เพราะ PM2.5 เป็นเหตุสำคัญของมะเร็งปอดชนิดที่มีการกลายพันธุ์ของยีน EGFR ซึ่งพบกว่า 50% ของผู้ป่วยมะเร็งปอดชาวไทย โดยเฉพาะคนที่ไม่สูบบุหรี่ พบว่าเซลล์ปอดที่มี EGFR กลายพันธุ์ ยังไม่เปลี่ยนเป็นมะเร็งจนกระทั่งได้รับ PM2.5 เข้าไป
ขณะเดียวกัน นพ.มานพ ยอมรับว่า เรื่องของหมอกฤตไททำให้มีแรงฮึดในการผลักดันโครงการมะเร็งปอดต่อ ถึงแม้จะเป็นงานช้าง แต่ก็จะพยายามผลักดันให้การตรวจมะเร็งปอดด้วย Comprehensive Genomic Profile และให้ยาต้านมะเร็งแบบมุ่งเป้าตามผลตรวจ เกิดขึ้นในระบบสุขภาพเมืองไทย ขอเวลาอีกนิดในการหาทุน



